Servizi Implantologia Dentale: Una Guida Completa

Se stai cercando una soluzione affidabile per migliorare il tuo sorriso, l’implantologia dentale potrebbe essere la scelta giusta per te. Presso la Golden Dental Clinic offriamo trattamenti avanzati, studiati per garantire risultati sicuri, naturali e duraturi.

In questo articolo scoprirai tutto ciò che c’è da sapere: benefici, procedura e vantaggi, con uno sguardo anche al turismo dentale in Italia.

Comprendere i Bisogni dei Pazienti

Molti pazienti affrontano il problema di denti mancanti o danneggiati. Questa condizione non influisce solo sull’estetica del sorriso, ma anche sulla funzionalità masticatoria e sulla sicurezza personale.

Gli impianti dentali rappresentano una soluzione stabile e a lungo termine. Permettono di ripristinare sia l’aspetto naturale dei denti sia il comfort nella vita quotidiana.

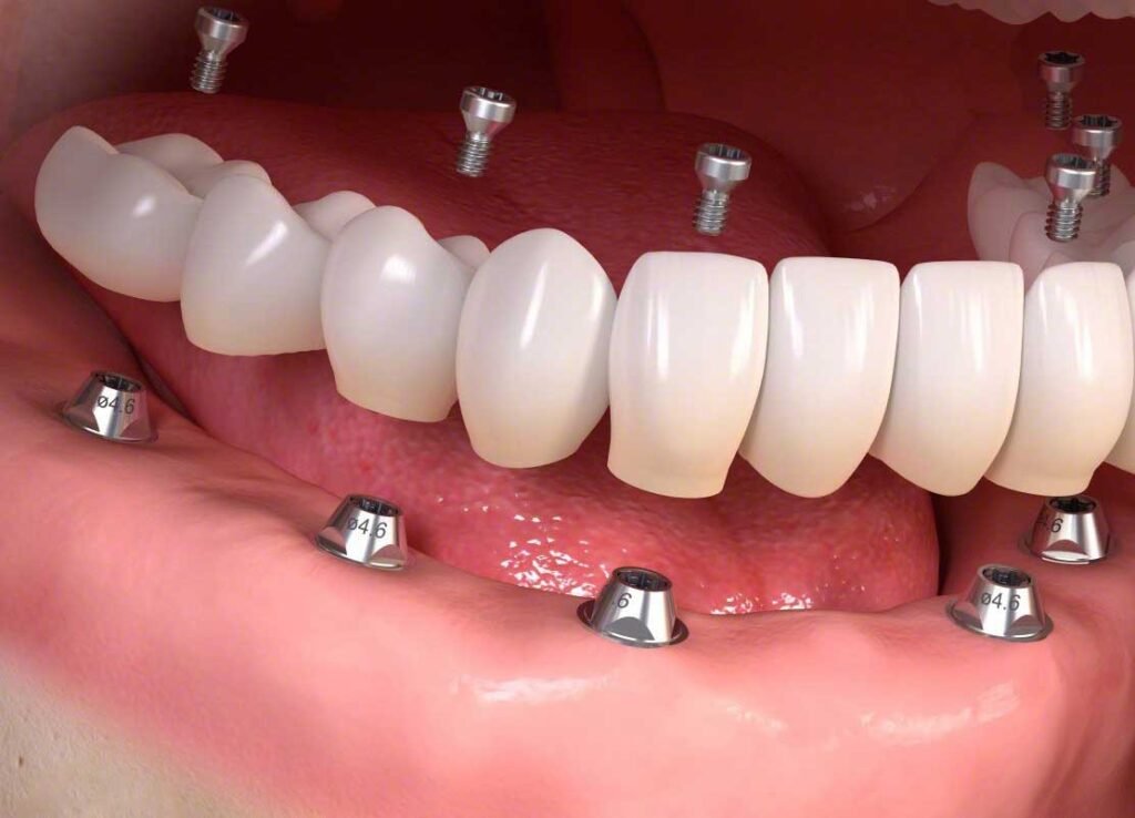
Procedura di Implantologia Dentale

Il trattamento inizia sempre con una valutazione completa del paziente.

Successivamente, viene inserito un impianto in titanio nell’osso, che funge da radice artificiale. Dopo il periodo di guarigione, necessario per l’integrazione con l’osso, viene applicata la protesi dentale definitiva.

Presso la Golden Dental Clinic utilizziamo tecnologie avanzate per garantire precisione, sicurezza e risultati prevedibili.

Perché Scegliere l’Implantologia Dentale in Italia

L’Italia è riconosciuta per l’eccellenza nei trattamenti medici e per l’attenzione al paziente.

Il turismo dentale permette di unire cure di alta qualità a un’esperienza culturale unica. La Golden Dental Clinic si distingue per professionalità, esperienza e un approccio personalizzato per ogni paziente.

Cosa Sapere Prima del Trattamento

Prima di iniziare, è fondamentale discutere con il dentista eventuali condizioni mediche preesistenti.

Per pianificare il trattamento in modo preciso, vengono effettuati esami approfonditi, inclusi radiografie 3D. Questo permette di creare un piano su misura, adattato alle esigenze specifiche del paziente.

Cosa Aspettarsi Dopo il Trattamento

Dopo l’inserimento dell’impianto, il periodo di guarigione varia generalmente tra 3 e 6 mesi.

Durante questa fase, l’osso si integra con l’impianto. È normale avvertire un leggero disagio, facilmente gestibile con i farmaci prescritti.

Seguire attentamente le indicazioni del dentista è fondamentale per ottenere una guarigione ottimale.

Risultati, Durata e Sicurezza

Gli impianti dentali offrono risultati affidabili e duraturi. Con una corretta manutenzione, possono durare anche tutta la vita.

I pazienti notano un miglioramento significativo sia nella funzionalità che nell’estetica del sorriso. Il nostro obiettivo è garantire un’esperienza sicura e soddisfacente in ogni fase del trattamento.

Perché Scegliere la Golden Dental Clinic

Scegliere la Golden Dental Clinic significa affidarsi a un team esperto, tecnologie moderne e trattamenti personalizzati.

La nostra missione è offrire soluzioni di alta qualità, progettate sulle reali esigenze di ogni paziente.

Conclusione: Un Nuovo Sorriso con Sicurezza

Investire nell’implantologia dentale è una scelta che può migliorare significativamente la qualità della vita.

Grazie alla stabilità e alla durata degli impianti, potrai ritrovare fiducia e benessere ogni giorno.

Affidati alla Golden Dental Clinic per iniziare un percorso sicuro verso un sorriso sano e naturale.

Dall’Italia all’Albania per un Sorriso Perfetto

Come Raggiungerci?

Brighten your smile with SmileOn!

Enjoy a FREE Consultation on your first visit! Let our expert team help you achieve a healthier, more confident smile.

Advanced Dental Care
Comfortable and Stress-Free
Personalized Treatment Plans